Walking Bleach

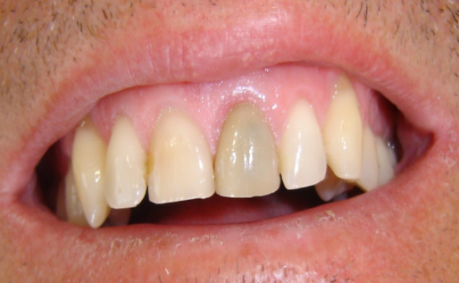
When the nerve inside your tooth becomes non-vital(dead) the tooth often undergoes a colour change. This is very noticeable when the tooth is a front tooth. Normal teeth whitening applied from the outside (as in tray whitening) will not have a noticeable effect. The tooth needs to be whitened from the inside out(walking bleach).
This internal whitening or 'walking bleach' is done by a dentist placing the whitening agent inside the tooth and close it with a temporary restoration. The tooth then whitens over a couple of days while the patient is 'on the go'(walking bleach). The whitening can be exchange a couple of times and finally the tooth is sealed off with a permanent restoration.
Why Does A Tooth Become Non-Vital?
Any damage to the vital nerve tissue can result in irreversable damage. Common causes of nerve damage are:
* Trauma
Often the patient will have a history of a childhood accident even many years prior to the colour change. (examples include: sporting accident, fell in bathtub etc.)
* Infection
Previous tooth decay or tooth abscess can lead to discolouration of the tooth.
* Root Treatment
Root canal treatment is usually the treatment to clean the infected root, but the tooth stays non-vital and will still result in discolouration.
The Procedure for walking bleach:
The dentist will examine the tooth and an x-ray is necessary to inspect the root for possible infection. If root treatment has not been performed yet then this will be the next step. This will ensure that all possible infection is removed and that the tooth is still strong to last many years to come. After root canal treatment the walking bleach procedure can be carried out. A small opening is made at the back of the front tooth to place the 'walking bleach' solution/gel. The area is then sealed with a temporary restoration and the patient can go home for a couple of days for the whitening to take effect. (walking bleach). This process can be repeated a few times depending on the level of whiteness needed. Finally the gel is removed and a final restoration is placed to seal the tooth.
Will The Tooth Fade Again?
Because the tooth is non-vital, it can gradually darkens over time again and the walking bleach procedure might need to be repeated again.
.............................
Other Restorative Options?
As this tooth is non-vital, the dentist can also decide to strengthen the tooth with a dental crown or dental veneer to ensure longterm stability and a better more permanent colour change.