Cape Town Dentist's Blog
Clear Aligners: The Smart, Affordable & Powerful Way to Transform Your Smile in 2026
A straight, confident smile can change how you feel about yourself—and how the world sees you. Thanks to modern dentistry, achieving that smile no longer means metal brackets, wires, or uncomfortable adjustments. Clear aligners have revolutionised orthodontic care, offering a discreet,...
Smile Week is here!
It’s Smile Week at MyTeeth!Great specials for beautiful, healthy teeth – but only for a few days. We’re excited to let you know that Smile Week is happening at MyTeeth – for one week only! Whether you're due for a clean, want whiter teeth, or have been thinking about refreshing your smile —...
Staining Season is here! Here’s How to Keep Your Smile Bright This Winter
Winter in South Africa is here — and with it comes cozy evenings, hearty meals, and comforting drinks. But did you know that your favourite winter warmers might be dimming your smile? We call this time of year Staining Season — the colder months of June, July, and August, when we all...
Newsletter June 2025
(Please note: For viewing on mobile devices, please choose landscape view.) Strong Smiles for Super Dads! This Father’s Day,...
This Fathers Day, it's your turn to SMILE!
Whether you're a dad, grandad, uncle, or just an all-around great guy — Happy Father’s Day from all of us at Blouberg Dental! We know that as a man, you don’t always prioritise yourself — but this June, we’re here to remind you that you deserve to look and feel your best too.Stained teeth,...
Not happy with your dental cleaning?
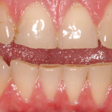
EMS Technology is now available at Blouberg Dental. Every few years, groundbreaking advancements redefine the standard of dental care. The latest EMS Guided Biofilm Therapy represents a paradigm shift, replacing traditional rotary polishing with state-of-the-art air polishing! Have you ever...
Maintenance for Resin Veneers
Are you considering a stunning smile transformation with resin veneers? If so, you’re not alone! Thousands of people seek this cosmetic dentistry option to achieve their dream smiles. Resin veneers are an effective solution for masking imperfections, enhancing aesthetics, and providing a...
Newsletter April 2024
Hi Everyone! I hope you are having an awesome 2024 so far! We are proud to launch our new mini smile makeovers and bring you up to speed with the latest trends in smile design and makeovers. Dentistry is changing fast from Analog to Digital and we are super excited to take a small part in...
How to take smile photos for a virtual consultation
Your dentist has asked you to send them some photos that clearly show your teeth and smile. Taking photos of your teeth is really easy, but we have found that when taking close-up selfies the photos are often out of focus. The best is to ask a friend or family member to help you...
The SMILE TRIANGLE: The 5 STEP plan to your best smile
Our mission is to educate and help people to become cavity-free and to have a best looking and functional smile for life. This is really a mouthful, but isn't this what we all want? Nobody ever taught you that having and keeping a great smile requires effort, self-control and hard...
Reverse tooth wear: a Mini Makeover
Ready for a smile makeover? Getting a new smile might not just be for looking better. We are seeing an alarming amount of young people with excessive tooth wear in our offices that is really disturbing! Excessive tooth wear is a destructive process and leads to loss of tooth structure that...
Help, my front teeth are wearing away!
According to Einstein's second law of thermodynamics, everything wears away in life, even our teeth! Our top and lower teeth touch each other every time we bite, eat and swallow. Then there is the subconsciously clenching and grinding we often do during night time. An increase in the force...
YES, WE ARE OPEN...
WE ARE OPENWe are happy to announce that we at Blouberg Dental Practice are back and OPEN to assist you with regular dental appointments. We are ready to help you with Crowns, Fillings, Dental Implants, Teeth Whitening, etc.We understand that during the nationwide lockdown many patients had to...
LOCKDOWN PRACTICE PROTOCOL
COVID-19 NATIONAL LOCKDOWNTemporary Practice ClosurePlease note, our practice will be closed for routine and non- essential dentistry from 27 March - 16 April, or a later date if advised otherwise. We respect the guidelines given to us by our Government, and will be part of the solution. We...
COVID-19 Protocol
As your trusted healthcare provider, your health and well-being is our TOP priority! YES, we are still open and are here to serve you and helping you with your dental care. However in the light of the recent outbreak of COVID-19, we need to be extremely vigilant and proactive as we value...
No more down time!
The streets are buzzing with people and everywhere shops and businesses are closing for an emergency 2,5 hour tea break. Employees and business owners are fideling on their phones to find out that no power means no signal and coffee shops are making slow paced coffee on little gas stoves for...
Have a confident, eye catching smile this valentines day
This month is SUPER SPECIAL and a big reminder to be extra romantic when you say 'I love you' with a big heart and smile. We all know that valentines day should really be every day, but it is just extra super special when you get that special invite, gift or flowers in February.Why not...
Is your diet destroying your teeth?
Have you heard about the story of how a tooth will dissolve when placed in a glass of COLA? If you have ever wondered how this is even possible or true, take it from us... stay away from soft drinks! It all depends on the pH surrounding the tooth. One of the most important factors in...
BLACK FRIDAY ZOOM SPECIAL
BLACK FRIDAY is here! This special can be viewed below and is only available until Tuesday 27th November! Hurry up to get in.Please phone the office on 021 557 3427 to confirm and request if we still have spots available. All our specialsare running for a limited time and is subject...
Our 4-in-1 Super Spring teeth whitening special!
It is time to dust off all the build up winter stains to reveal a radiant & gorgeous smile! A white smile will work magic for your confidence and can shave years off to reveal the new younger you. Teeth whitening is the first step in any esthetic or cosmetic dental procedure as this will...
I brush my teeth with Dental Sugar
What! Can you really brush your teeth with sugar? Dental sugar or xylitol is the new buzz word in tooth decay prevention and if you haven't tried it yet, you might be missing out on a big tool in our fight against tooth decay. Tooth decay and xylitolTooth decay happens when tooth enamel starts...
Metal Free Dentistry
It was a great photo. You were caught in the middle of a "full-on" laugh. Then you noticed the old, silver, amalgam fillings and realized that your entire dental history is on display! No need to be self-conscious any longer. There is a simple and attractive solution to the problem. The...
Official website launch!
April newsletter Hi Everyone! I hope you all had a great Easter and enjoyed some quality family time with lots of fun and laughter! Easter is always special and this year...
The magic of longer teeth
One of the first things that are noticeable on an aging smile is usually the shorter front teeth. As we age, our front teeth usually wear down due to normal biting, grinding and wear from the opposing jaw. During a normal day our teeth usually touch 2000 times against the opposing teeth and...
The Sequence to a perfect Smile!
You want that perfect new smile and you want it yesterday! Porcelain veneers, teeth whitening, bonding, crowns… where do you start? A beautiful smile consists of many ingredients including colour, gums, shape and obviously your teeth. 'Doctor I just want a straight, white and good looking...
ZOOM your Valentine!
The search is over for that unique Valentine's gift! We have done all the thinking for you and are literally giving white smiles away this month. Say 'I love you' this valentines day with a SMILE she'll never forget.With our teeth whitening special everyone can now have that white smile they...
Super Saturdays - we are open
Saturdays Are More ConvenientFor many years we often had patients asking us to consider extending our working hours to Saturdays. We have finally listened and are now officially open on Saturdays from 09h00 - 12h30.Saturdays are for many people the only day of the week when they can take off...
My front filling looks false
Composite Bonding or resin fillings are great to repair chipps on front teeth or even to change to whole shade or shape of your existing teeth.The secret to an undetecting restoration is an excellant colour match and this requires experience and skill from the dentist.Single...
Walking Bleach
Why Is Only My Front Tooth Dark?When the nerve inside your tooth becomes non-vital(dead) the tooth often undergoes a colour change. This is very noticeable when the tooth is a front tooth. Normal teeth whitening applied from the outside(as in tray whitening) will not have a noticeable effect....
I cannot open my mouth properly after my dental injection!
This is called DENTAL TRISMUS or Lock-jaw and although various reasons exists for the condition the most common dentalcauses are normally after lower dental injection or dental extraction. This leads to the limitation of jaw opening and pain after dental injection, especially in the lower jaw....

