The Ageing Smile
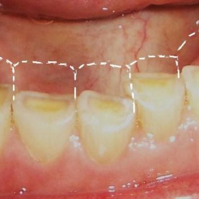
What is tooth wear?
Tooth wear also called 'Occlusal Disease' is one of the most prevalent dental problems of the modern age. This is defined as the loss of dental hard tissue(mainly enamel) caused by factors other than tooth decay or trauma. As we age the amount of wear increases on our teeth and thus...
Read more
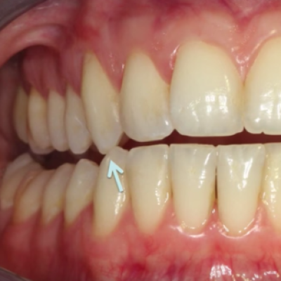
Canine Tooth Guidance
Our canine teeth play an essential role in guiding our jaws side to side to prevent excessive wear and fracturing of our other teeth. Molars are very strong in the up-and down biting movement during everyday eating and chewing, but NOT with lateral(side to side) movements. The tips of our...
Read more
The Tooth Wear Consultation
Tooth wear is a complex issue in dentistry and involves normally a detailed consultation. This first consultation takes about 45-60 minutes where we determine the type of tooth wear and different causes in order to finally make a diagnosis. This diagnosis is crucial and helps us to set...
Read more
Treatment for tooth wear
Due to the effect of tooth wear, some degree of enamel loss is always present. We follow the concept of minimally invasive treatment which means we preserve as much of your tooth structure as possible and aim to just adding 'enamel' back to the tooth. In essence you have...
Read more
Resin Injection Moulding
The Resin Injection Technique (RiT) is the latest procedure to take cosmetic dentistry to new heights! This is everything you've always wanted to get to that new makeover or smile, but without the need for invasive procedures. With RiT we adhere to the principles of minimally...
Read more

