Cosmetic Dentistry Secrets

DO you want to change your smile?
DO you want to smile with confidence?
DO you want that famous Hollywood Smile?
Then don't waste another minute...!
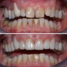
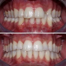
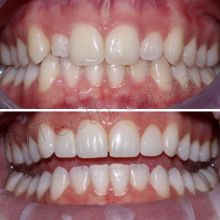
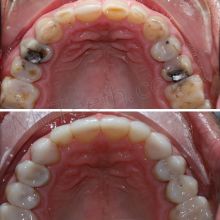
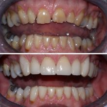
This report will blow your mind away! Within 1 visit you can literally change
your personality from the shy, quiet and lonely person to the one that will
shine with confidence! This happens at our practice everyday.
Your smile is your most valuable asset,
because it is the first thing
people will notice about you.

Here’s Why I Say That:
You can fix how a person dresses, get their hair and make-up looking
great, have them lose 10 kilo's, but a person lacking self-confidence
because of their smile will be noticed first and above all else.
That is why the secret that ties it all together is a gorgeous smile.
And with today’s cosmetic dental procedures, there is no excuse why we
can’t all have white, straight, and attractive smiles that we are proud of!
Cosmetic Dentistry can help to change your life!
Are you ready for a new change?





