Gum Disease Treatment

Periodontitis or gum disease is a very serious dental disease. Very few people are educated about this disease.  Gum disease is the GREATEST cause of tooth loss in adults! According to the World Health Organization (WHO), 10 - 15% of the world population or 600 - 900 MILLION people are suffering from severe Periodontitis or Gum disease.
WHAT Is Gum Disease?
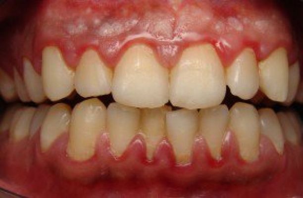
In plain terms this mean "inflammation of the gums and underlying bone". Marked by tender, bleeding or swollen gums, Periodontitis or Gum Disease is a very real threat to many patients.
What Is The Cause Of Gum Disease?
Periodontitis or Gum Disease is caused by plaque and tartar build-up on the teeth, which eventually weakens the fibers that bond the gums to the teeth.
How Does It Start?
It starts as simple and plain "Gingivitis" (inflammation of the gums). Gingivitis is marked with red, slightly swollen gums that bleed easily when touched. It is a local reaction to plague.  .  It can be localized or effects the entire mouth depending on how the patient cleans his/her gums. Gingivitis is totally reversible and good brushing and flossing will clear it up in a few days. Hardly any discomfort is felt and gum disease can easily be ignored.
.  It can be localized or effects the entire mouth depending on how the patient cleans his/her gums. Gingivitis is totally reversible and good brushing and flossing will clear it up in a few days. Hardly any discomfort is felt and gum disease can easily be ignored.  
Smoking masks the bleeding, because it reduces blood flow in the smaller veins.  Ignoring the symptoms of gingivitis may lead to the spreading of this infection to the deeper layers of the BONE and TOOTH ATTACHING FIBERS.  Once the infection has progressed to this level and the BONE itself is infected, it is called Periodontitis ("-itis" means inflammation). There is NO Permanent CURE for this disease.

Variations Of Periodontitis / Gum Disease
The 2 variations of Gum Disease are called Slow and Rapid Periodontitis. You have anything from a few years to decades before you will start losing your teeth. Without treatment, losing some or all of your teeth are inevitable.
Dental Pockets
Initially the disease is not visible from the outside, because of "pocket" formation around the teeth. A "pocket" is an opening around the tooth which is covered by gum and not visible unless a probe is inserted. These pockets are filled with plaque and tartar and bleed easily when probed. Part of diagnosing gum disease means probing these areas to measure the probing depth.

Periodontitis / Gum Disease Diagnosis & Symptoms
Only the dentist can diagnose this by measuring 'probing depth' around the teeth. Initially there are no symptoms, because gum disease happens very slowly and the patient is unaware of it. The teeth become mobile and appear longer as the gum recedes (falsely identified as part of the aging process ("getting long in the tooth"). A terrible smell is present in severe cases, called Halitosis, but the patient is unaware of this, because of the slow-developing nature of this disease.
Gum Disease Risk Factors
- People who are diabetic have an increase risk.
- Smoking is one of the greatest risk factors due to the negative effect on the blood vessels in the gum.
- Incorrect brushing (too hard / poor brush quality and the wrong brushing technique)
- Teeth grinding / bruxism
- Position of the teeth in the bone (skew teeth collects more plaque and are much more difficult to keep clean.)
- Genetic component (Often history of parents with gum disease)
There is NO CURE for Periodontitis / Gum Disease. There is ONLY TREATMENT available that involves maintenance.  If you are diagnosed with Periodontitis / Gum Disease, ACT  DRASTICALLY and together we will help you to keep your teeth a lifetime!
Treatment For Periodontitis / Gum Disease
Drastic treatment very often means referring the patient to a Periodontist (Gum Specialist). The specialist will physically remove the debri and plague from below the gum level to stimulate  the re-growth of  healthy tissue.  Home care programmes (see Periodontal Programme) are a must for the patient to help establish a new cleaning routine. Regular follow up visits to the specialist to monitor maintenance
The Relationship Between Health Conditions & Gum Disease The Potential Effects Of Moderate To Severe Periodontitis On The Body:
 The Potential Effects Of Moderate To Severe Periodontitis On The Body:
* Stroke risk x 2 times                                            
* Chronic Respiratory Disease x 2-5 times                     
* Coronary Artery Disease x 2 times                          
* Adverse Pregnancy Outcomes x 4-7 times
* Diabetes x 2-4  times
Care For Periodontitis / Gum Disease 
Although there is a strong genetic component regarding this disease, it is very important to do whatever you can to prevent this infection from getting out of control:
- Daily flossing and brushing are essential!
- If you do grind / bruxate your teeth, make sure to have a biteplate made for you
- Use of special Proxabrushes®/ soft pics
- Use of special toothpaste
- Use of advanced mouth rinses (Paroex®)
- Proxabrushes & Soft Pics
 

Make an appointment and start prevent and manage Gum Disease today!
VIDEO:  Watch this special video footage below of 'The Doctors' to learn more about Gum Disease.









