CROWNS: Full Porcelain or Metal-Porcelain?

I recently received the following question from an overseas patient:
My husband is concerned about the new "one visit" crowns. He had one done and it broke and then had to be replaced with the old fashioned kind that takes longer. He is adamant that I shouldn't get the new ones because of this.
ANSWER:
Your husband do have a point, but one must understand the PROS and CONS of both options.
The 1 visit or CEREC crowns are all full porcelain crowns and do not contain metal. However we get different types of porcelain and the type we would use for teeth grinders is called E-MAX crowns.
Emax crowns are very durable and if enough space is given over the prepared tooth(+- 1 mm) then breakage is not an issue. In addition you must get a biteplate that will further protect your teeth at night. Even the metal-porcelain crowns can chip and then you sit with the unsightly metal showing through the porcelain.
Any full crown can however break(except gold or metal) and one cannot absolutely guarantee against breakage. We do however give a guarantee and will replace it free of charge within 5 years, but it is of little value to you since you are a visitor and unfortunately we cannot help you if you are not in our area.
This also does not mean that metal-porcelain crowns do not break.
The metal part is just veneered over with full porcelain and this porcelain can also fracture off. One must always realize that when the force is big enough, most esthetic materials will break at some point. The original teeth also did not last, and in addition one must alter the eating or grinding habits to ensure success.
SO WHY DO WE LOVE THESE CEREC CROWNS SO MUCH ?

The main answer is the esthetics and a more conservative preparation to your own teeth.
These crowns look far superior than the metal-porcelain crowns, because they are more translucent and give a superior natural look. This means that they let natural light through as does normal teeth.
Metal-porcelain blocks out light and gives a dull artificial false-teeth look.
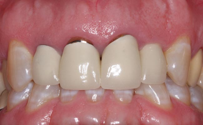
Whenever you can see somebody have crowns, it almost always is metal-porcelain.
Metal-porcelain also gives the dark line we so often see by the gum line as you can clearly see on your old traditional existing crowns in the back of your mouth. We never do metal-porcelain on the front 6 teeth for this very reason.
With full porcelain we also do not have to cut the whole tooth off like we do when using metal-porcelain, but most of the times we use partial crowns or inlays/overlays or veneers.
These are much more conservative in keeping most of the existing healthy teeth. Most of your teeth would get partial crowns rather than full crowns as with metal-porcelain.
If you however want to have metal-porcelain it is no problem and we can still do this by using the dental lab. The lab will require a week to make these crowns and we will have enough time if I can see you ASAP when you arrive in SA.

