I’ve heard that I can get bonding on my teeth instead of veneers? What is bonding?

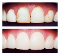
Bonding uses composite resin to restore chipped or broken teeth,fill in gaps, fix cavities and reshape or recolour your smile. The same material used for bonding is used for making tooth colored fillings, which appear more natural. Your dentist applies the resin and sculpts, colours and shapes it to provide a pleasing result. A special light, operating at a specific wavelength, hardens the material, which is then adjusted and polished.
Composite Bonding differs from Porcelain veneers in that bondingis done within a single visit, while veneers (in most cases) requires a dental lab to manufacture the restoration. Additionally, bondedrestorations are much less expensive than veneering, since there are no lab cost involved. Bonded restorations are usually very conservative when it comes to reducing tooth structure, and can also be used to protect over exposed root surfaces in order to reduce tooth sensitivity.
If Bonding is so good, why do people have porcelain veneers?
Compositediffers vasly from porcelain as these are 2 totally different materials.
Composite are made out of resin with particles of different sizes of fillers that is mixed in the resin to form a compound called composite.
Composite unlike porcelain have the following shortcomings:
* is not 100% stain resistant although the newer composites are
getting there. (a light polish would remove any staining)
* composite acts like a ‘putty-clay-like’ material that is sculpted
by the dentist directly on the tooth
* This tecqnique requires a very high artistic skill and is very
tecnique sensitive
* Gives a good 2 – 5 year solution as a big restoration or veneer
(not long term like porcelain)
* Difficult to create a good close contact between teeth when done
on back molar teeth
*Needs a higher level of maintenance as resin can chip orshow stain lines
*Not recommended for people that have a high staining factor for example:
heavy smokers (more than 10 sig / day)
heavy cofee, tea or red wine drinkers
Cost of bonding:
Anything from R500 – R2000 *per tooth depending on the surface and level of coverage.
(* 2011 prices)
Greatest benefit:
Can be done in one visit and is easy to repair or maintain. It is also inexpensive
comparing to porcelain.
Each year better and better composites are being develop and this is the miracle material to watch!
Every year dentists attend updated courses on these newer materials and techniques to do better & better composites.
Click on the following link for more information: https://myteeth.co.za/index.php/myteeth/secondary/cosmetic_dentistry_services/

