My front filling looks false

Composite Bonding or resin fillings are great to repair chipps on front teeth or even to change to whole shade or shape of your existing teeth.
The secret to an undetecting restoration is an excellant colour match and this requires experience and skill from the dentist.
Single or multi-layering techniques
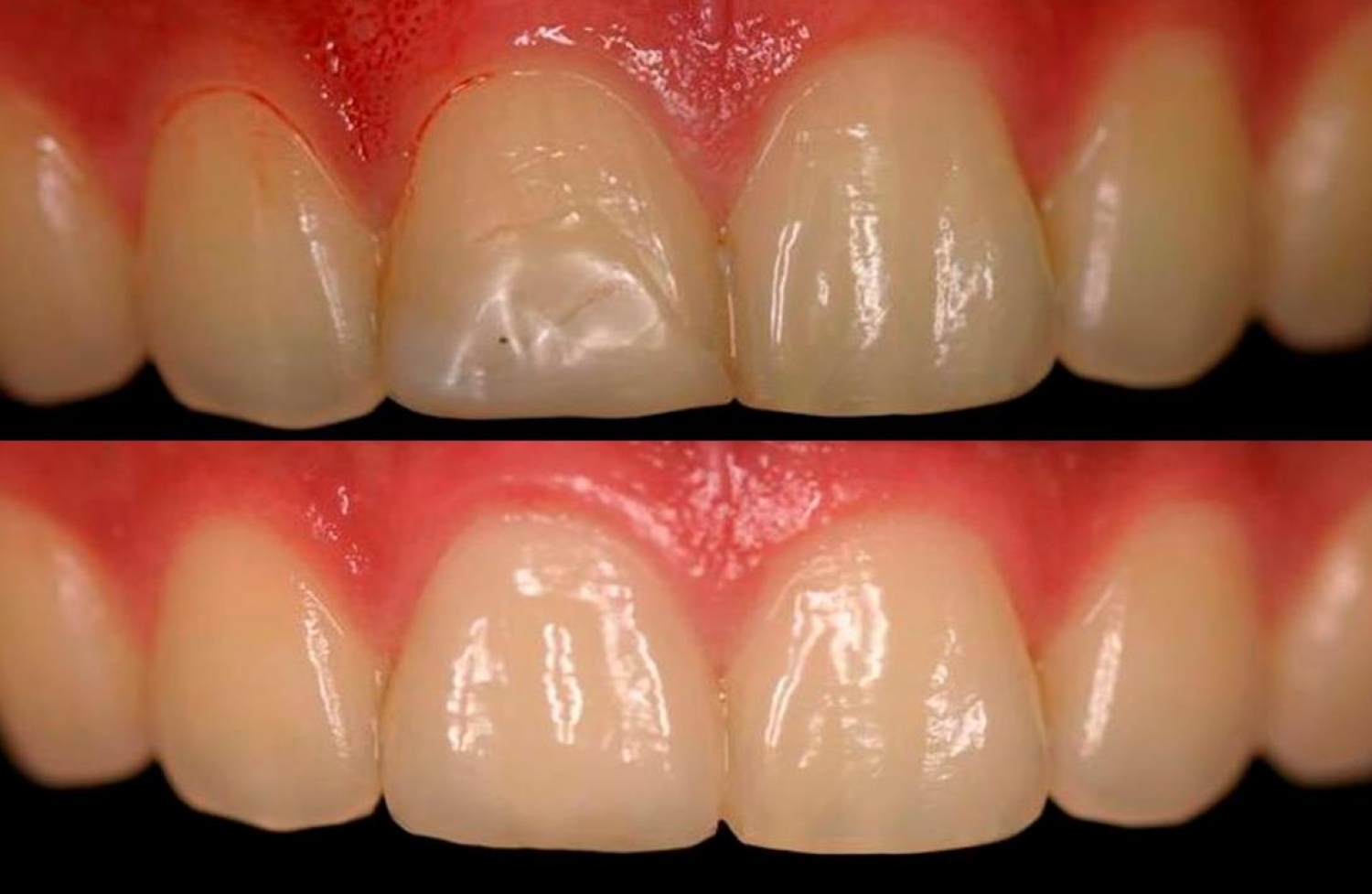
Our teeth come in different shapes, sizes and colour. Viewing a front tooth from the front reveals the different colour gradients and colour elements that make our teeth look so unique and alive! Copying this to the resin restoration is very important to make the filling 'blend' in or stand out. The following are some of the elements that have to be taken in consideration in the copying process:
The halo
At the tip of the tooth we often find a thin white line or halo.
The translucent edge
Due to many factors such as 'wear' from the back of front teeth our front teeth often appears with a 'blue-ish' appearance at the edge. This is also due to the underlying dentine that stops here and does not continue until the very tip of the tooth making the tip looks more translucent.
The darker 'neck' area
The neck of the tooth is ussually slighty darker or more yellow than the rest of the tooth and this creates the natural gradient that flows from the more tranclucent tip to the darker neck.
White lines
Sometimes many white lines run vertical from the neck to the tip to gives the appearance of 'liveliness' and not just a 'dull' look.
The dentist have the option of using a one colour restoration or multi colours to create an undetecting restoration. Single layering or single colour fillings can often lead to the restoration looking too white(piano key - look) and thus artificial or false.
Cost
The cost of these restorations also depends on the degree of detail to ensure a state of the art masterpiece versus just a functional 'white' one dimentional filling. Expect to pay more for multi-layering techniques as these are much more time consuming and require extra skill and commitment from your dentist. In the end you do not want to admire your dentist's beautiful art work, but rather your beautiful tooth. Next time when phoning in to book an appointment for a front filling, be sure to ask for a multi layering restoration or at least an undetected filling!

