Which crown should you choose?

| Dental crowns are dental restorations otherwise known as “caps” that fit over the visible tooth structure. |
Dental Crowns are amazing in that they have many uses and benefits to us.
- Dental Crowns can:
*change the colour of a tooth
*restore a broken down tooth
*alter the shape of a skew tooth to align it in a straight line
*be extremely durable and long term
Many of us are not aware that crowns are made from different materials and a few options exists. When your dentist wants to crown your tooth, ask him/her what type of crown he/ she would recommend.
Most people today do not know that they actually have options when choosing to crown a tooth.
These options include:
- Acrylic dental crowns
- Cast metal dental crowns
- Full Porcelain dental crowns(cosmetic / metal-free)
- Porcelain with metal support underneath
- Fiber reinforced resindental crown
So, what do all of this actually mean to you? The bottom line is that when getting a crown done, you want something that looks exactely like a real tooth and are durable for years to come.
Lets look at the 2 most popular crowns namely a) metal-porcelain and b) Full porcelain crown
* Typically use on back molar teeth for chewing and strength
* They are very easy to cement and most dentists know how to do these crowns
Unfortunately these crowns are responsible for the sometimes UGLY BLACK LINE you see so often when someone smiles with a big gummy smile. The metal underneath the porcelain sometimes causes staining of the gum tissues and result in a blue-ish appearance.
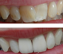
B) Full Porcelain crowns:
*These are typically cosmetic crowns and really look beautiful and are the 'go to' crowns nowadays.
* The porcelain only crown lets light through the tooth and therefore you get a beautiful natural look

Esthetics is almost always the FIRST PRICE and therefore choosing full porcelain crowns over metal-porcelain crowns almost always win.
Also see this link to learn more about dental crowns.
What about price?
Expect to pay more for full porcelain as the laborotory cost is more and the cementation process is a lot more complicated and time consuming (dentist chair time). With the fast pace of new technology today, better and better porcelains are being develop and full porcelain crowns are getting more and more popular.
Next time when your dentist wants to crown your tooth, discuss the options with him/her and and make the right choice!
To your best possible SMILE!
Dr Francois Burger

