Smile Analysis
Analyse your smile
Kindly check your smile in a close-up mirror. With our unique Smile Analysis you can know whether or not a procedure is applicable to you. If you identify your problem in the photos below, click on the treatment options to see how we can transform your smile!
My teeth are worn
Most people are not aware of the slow and ongoing process of tooth wear. Under normal conditions, tooth wear takes place at a rate of +- 0.021 mm per year or roughly 1mm enamel loss at age 60. Pathological tooth wear happens when more rapid tooth loss takes place and leads to functional and...
Read more
My front teeth are skew
Skew or overlapping front teeth are one of the most common reasons patients are not happy with their smiles. Our unique case here shows some severe overlapping of the front 2 centrals. Our teeth are constantly changing and moving due to stress factors applied from all sides to...
Read more
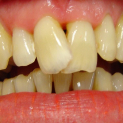
Chipped front teeth and uneven biting edges
Teeth grinding and the ageing process are major factors that cause excessive stress and wear that leads to chipping of our front teeth. The moment the edges of front teeth start to chip it is impossible to hide and immediate help is needed. Our front teeth are the first thing we show when we...
Read more
My Front Teeth Are All The Same Length
Contrary to what many people think our front teeth must not all be the same length. The front 2 central incisors must always be a fraction longer than the laterals. Often by just lenghtening the 2 frontal incisors slightly can add years back to your smile. As we age our front teeth wear down...
Read more
Front Teeth are Too Long or Too Short
The colour, width, shape and length of your front teeth play a crucial role in defining your smile! Longer front teeth are often associate with youthfullness, but too long is also a smile stopper. Similair if the front teeth are too short then you might appear to look older due to a worned...
Read more
Front Teeth Too Big or Too Small
Size really matters when it comes to our front teeth and when teeth are too big or too small for your particular face shape, everything looks out of relation and harmony. With advances in Cosmetic Dentistry we can now easily change the shape and form of your teeth to better suit a particular...
Read more
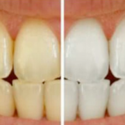
My Teeth Are Too Yellow
Are you happy with the colour of your teeth? Have years of smoking, coffee, tea... stained your once younger looking smile? Are you TIRED of having yellow teeth and feels FRUSTRATED every time you open your mouth? Time and time again we see it is a new whiter and brighter smile that bring...
Read more
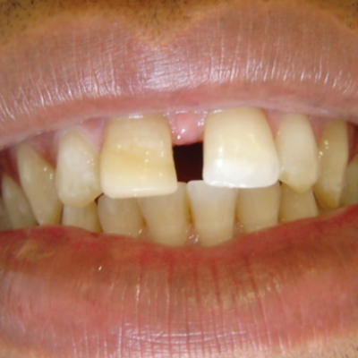
Mind The Gap
If you look like Madonna the gap between your front teeth will be one of your trademarks, but for most of us, gaps between teeth place unnecessary negative attention to our smiles! If it is only a central space between your front teeth or spaces between numerious teeth, cosmetic dentistry...
Read more
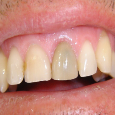
My one dark front tooth
Often a front tooth can be more yellow, grey or just darker than the other teeth and draws negative attention to this area. The main factor in causing this is a 'dead' nerve due to many possible causes. Home test: Press a small block of ice against this tooth. With a 'dead' tooth you will not...
Read more
Unsightly and Defective Metal Fillings
In a full smile when your back teeth normally show are your teeth free from stains / discolourations and unsightly metal restorations? Amalgam(metal) restorations used to be the standard many years ago to fill our teeth, but today due to health risks and better white alternatives we...
Read more
The Necks of My Teeth Have Indentations or Grooves
Look at the necks of your teeth along the gum line. Can you see or feel with your fingernail any grooves on the 'necks' of these teeth? This is caused by mechanical/chemical factors. It is important to repair these defects (abfraction or erosion lesions) as this is in effect a loss of enamel...
Read more
My Wife Says I Snore At Night
Are you tired or embarrassed by your snoring? Are you the one responsible for keeping your spouse or friends from having a good night's sleep? Many spouses are forced to sleep in separate bedrooms and the whole family is usually affected in one way or the...
Read more
I Have Bad Breath (Halitosis)
Bad breath can really change your life dramatically. This is for sure a romance stopper and many times the person is unaware of having this. It is sometimes also a simptom of underlying disease and should be diagnosed early and treated. If you suspect bad breath, don't hesitate any longer...
Read more
















