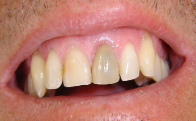
My one dark front tooth
Often a front tooth can be more yellow, grey or just darker than the other teeth and draws negative attention to this area. The main factor in causing this is a 'dead' nerve due to many possible causes. Home test: Press a small block of ice against this tooth. With a 'dead' tooth you will not feel the cold in any way. The colour of your front teeth play a crucial role in defining your smile! Our front teeth are the first thing we show when we speak or smile. It goes without saying that any defects or abnormalities will be revealed instantly and unfortuanely we cannot hide this. Cosmetic dentistry can help to restore the colour of your dark front tooth.
A) Treatment:
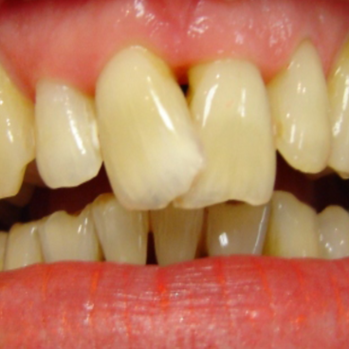
First we will look at the 9 different treatment options we use in Cosmetic Dentistry, and decide when and what options to apply. Our main goal is to be conservative and minimally invasive. A good teeth cleaning and then possible general teeth whitening will be the start before trying to match any possible bonding or veneer work to mask or hide the dark colour.
Treatment options for a single dark front tooth are:
- Root Canal Treatment
- 'Walking Bleach' (Internal Whitening)
- Composite Bonding
- Porcelain veneers
- Night Guard or Bite plate
B) Our unique case:



.
***To learn more about this case, please see our blog post here.


