Help, my front teeth are wearing away!

According to Einstein's second law of thermodynamics, everything wears away in life, even our teeth! Our top and lower teeth touch each other every time we bite, eat and swallow. Then there is the subconsciously clenching and grinding we often do during night time.
An increase in the force and frequency of this interaction between top and lower teeth results in an increase in tooth wear. When dentists fill or repair teeth we always have to respect the vertical height of the bite and all restorations must be filled up to this point. If the filling is high in the bite then the dentist must polish this down again to your specific vertical dimension of occlusion or bite height.
![]() |
Adding 'enamel' back to the edges of your front 6 teeth can put years back to your smile and teeth! Ask your dentist about the DAHL-PRINCIPLE! |
The Dahl-Principle
This technique or method gives us a way to treat tooth wear on front teeth before wear begins on the back teeth. The concept provides a way to directly build up the front 6 teeth in either upper or lower or both jaws simultaneously. This will create a space in the bite between the back teeth that will close back again within a few month's time depending on some factors and conditions. The back teeth will 'grow' longer and passively erupt over a few months until contact with opposing teeth is established again. What does this mean for us?
Effectively this means that to treat tooth wear on front teeth we can just add-on material (filling) to the desired length(<5mm) to these teeth and thus purposely creating an open bite between back teeth. The patient will function normally with this new bite and increased height and over a few months the back teeth will settle in completely.
Dahl principle means doing as little harm to teeth as possible to create maximum benefit by just adding on lost tooth structure! a WIN-WIN situation.
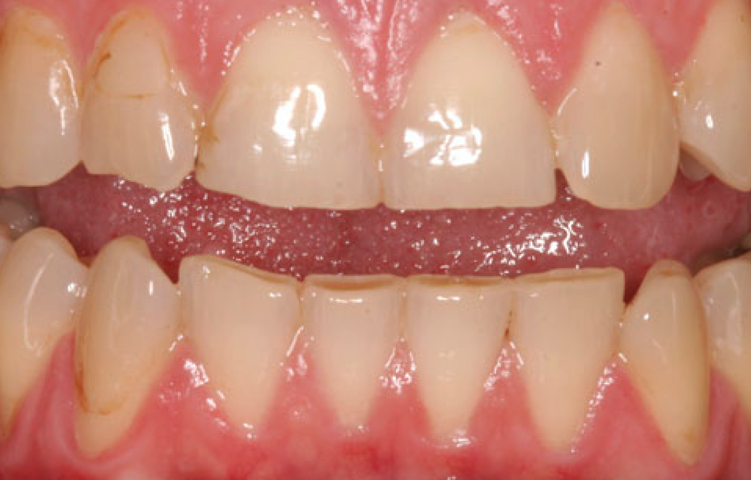
Front teeth wear away generally as a group
Next time when your front filling chips off, maybe it is time to think about the Dahl concept. Treating the chipped tooth often cannot be done in the old vertical dimension and your dentist needs to open the vertical height. This means repairing your front 6 teeth as a group to get you in a new increased vertical height and bite or else your filling will just keep chipping off.
The following 2 photos* illustrate the increased added length and new look. Both the upper 6 and lower 6 teeth were treated.
![]() |
![]() |
||
| Before Dahl Build-ups | After Dahl build-ups |




