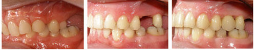
Tooth Movement Alternative to Bone Transplants

ScienceDaily (Oct. 10, 2011) � Although replacing lost teeth often involves artificially building up the jaw, researchers at the Sahlgrenska Academy at the University of Gothenburg, Sweden, are now showcasing a new method whereby teeth are instead moved into the toothless area using a brace, giving patients the chance of having more teeth.
.
When we lose our teeth, perhaps because of illness or injury, the jaw in the toothless area also decreases in volume. This reduction makes it difficult to carry out dental implants, often leaving just one option for replacing lost teeth: building up the jaw with bone transplant.
.
Alternative method
Researchers at the University of Gothenburg’s Sahlgrenska Academy are now presenting an alternative method. In an experimental study on dogs, the Gothenburg researchers managed to use a brace to move existing teeth into a toothless area with limited bone volume, without any reduction of the tooth’s natural attachment in the jaw.
.
In a subsequent clinical study, consultant Orthodontist Birgitta Lindskog Stokland and her colleagues also managed to show that the same procedure in humans caused only small changes in the tissue around the tooth.
.
No lasting problems
“X-rays showed some damage to the root known as root resorption, but this didn’t seem to cause any lasting problems,” says Lindskog Stokland. “What’s more, our follow-ups a year later showed that the damage had lessened.”
.
The original site of the moved tooth suffers a reduction in bone mass and dental tissue volume, though not to the same extent as when teeth come out for other reasons. This means that this area is well-suited to implants or other tooth
.
More teeth more easily
“In other words, many patients can be given more teeth more easily,” says Lindskog Stoklan.
.
http://www.sciencedaily.com/releases/2011/10/111010083440.htm

