Mind The Gap

If you look like Madonna the gap between your front teeth will be one of your trademarks, but for most of us, gaps between teeth place unnecessary negative attention to our smiles! If it is only a central space between your front teeth or spaces between numerious teeth, cosmetic dentistry provides options to close these gaps. Our front teeth are the first thing we show when we speak or smile. It goes without saying that any gaps or abnormalities will be revealed instantly and unfortuanely we cannot hide this.
Cosmetic dentistry can help to restore and close up spaces between your teeth. Even if you have a near perfect smile, but a little space or gap makes you feel less confident, that can be enough to let you go through life with a tight-lipped smile.
A) Treatment:
First we will look at the 9 different treatment options we use in Cosmetic Dentistry, and decide when and what options to apply. Our main goal is to be conservative and minimally invasive. A good teeth cleaning and then possible teeth whitening will be the start before trying to match any possible bonding, veneer or other cosmetic work.
Treatment options for gaps or diastemas:
- Conventional orthodontics or Clear Braces
- Composite Bonding
- Porcelain veneers
- Night guard / Biteplate
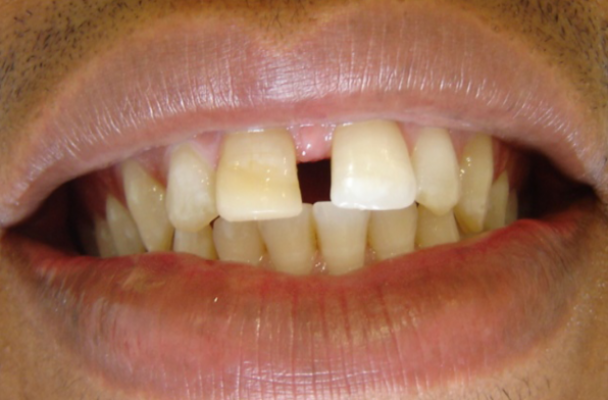
B) Our unique case:
Our patient opted for some composite bonding to close the big gap between his front teeth. This was all done in just 1 session. The patient also needed a night guard to protect his teeth during sleep from chipping to ensure the longevity of these restorations.

