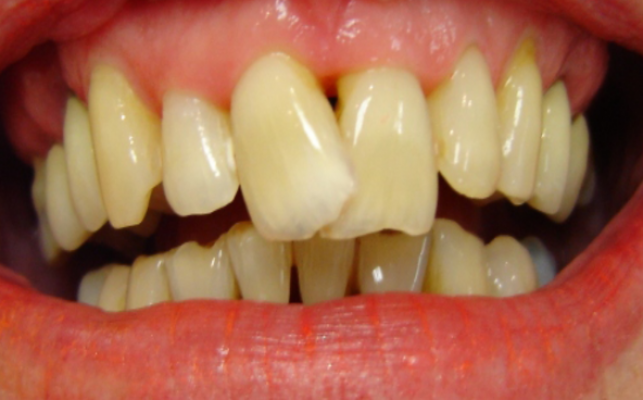
My front teeth are skew

Skew or overlapping front teeth are one of the most common reasons patients are not happy with their smiles. Our unique case here shows some severe overlapping of the front 2 centrals. Our teeth are constantly changing and moving due to stress factors applied from all sides to them. Teeth grinding or clenching are the single biggest factors that lead to teeth movement. If you are not doing something about your skew teeth now, it will only get worse. As we age, crowding and overlapping increase leading to uneven tooth wear and worn down smiles.
Cosmetic dentistry can help to create a more 'even' smile. Even if you have a near perfect smile, but 1 tooth is slightly mis-aligned or skew, this can be enough to let you go through life with a tight-lipped smile.
A) Treatment:
First we will look at the 9 different treatment options we use in Cosmetic Dentistry, and decide when and what options to apply. Our main goal is to be conservative and minimally invasive. A good teeth cleaning and then possible teeth whitening session will be the start before trying to match any possible restorative work.
Treatment options for skew teeth:
The following are options from least invasive to most. Sometimes a combination is necessary.
- Conventional orthodontics or Clear Braces
- Composite Bonding
- Porcelain veneers /Porcelain crowns
Our patient didn't want to have teeth whitening or clear braces and we finally opted for only composite bonding to reshape the 2 front teeth. This was all done in just 1 session. The patient also needed a night guard to protect his teeth during sleep from chipping and further grinding.
