Smile Analysis- Identify your problem areas

Your Smile Make Over starts here!
First try to identify all your 'problem' areas. Usually a Make Over takes place by changing the colour, shape or alignment of your 4, 6 or 8 front teeth.
Kindly check your smile (front and side views) in a close-up mirror. With our unique Smile Analysis you can determine whether or not a procedure is applicable to you.
If you identify your problem in the photos below, click on the treatment options to see how we can transform your smile!
1. My Teeth Are Skew, Please Help!Crooked incisors, crowded or overlapping teeth are one of the many reasons why people are seeking the help of cosmetic dentistry to help them creating a more 'even' smile. Even if you have a near perfect smile, but 1 tooth is slightly misaligned or skew, that can be enough to let you go through life with a tight-lipped smile. Click below to choose a treatment option:
Clear Braces Composite Bonding Porcelain Veneers
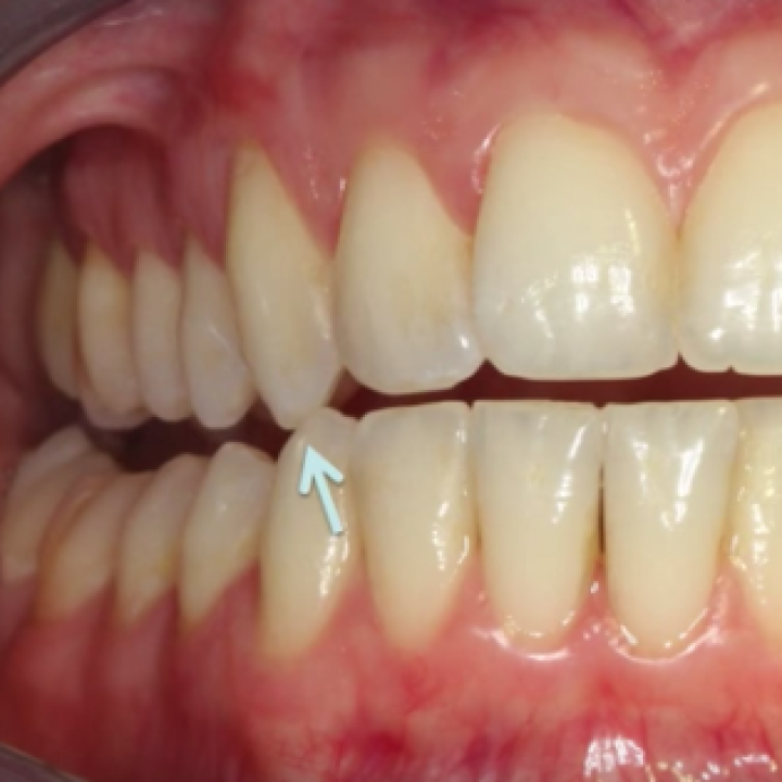
2. Chipped Front Teeth & Uneven Biting EdgesOur front teeth are the first thing we show when we speak or smile. It goes without saying that any defects or abnormalities will be revealed instantly and unfortuanely we can not hide this. Trauma, normal daily 'wear and tear' and ageing all contributes to chipping and uneven biting edges. Click below to choose a treatment option:
Night Guard Composite Bonding Porcelain Veneers
3. My Front Teeth Are All The Same LengthContrary to what many people think our front teeth must not all be the same length. The front 2 central incisors must always be a fraction longer than the rest. Often by just lengthening the 2 frontal incisors slightly can add years back to your smile. As we age our front teeth wear down and give a 'straight-line' appearance. Click below to choose a treatment option:
Night Guard Composite Bonding Porcelain Veneers
4. Front Teeth Are Too Long or Too ShortThe colour, width, shape and length of your front teeth play a crucial role in defining your smile! Longer front teeth are often associate with youtfullness, but too long is also a smile stopper. Similair if the front teeth are too short then you might appear to look older due to a worned smile or a longer upper lip. Click below to choose a treatment option:
Composite Bonding / Contouring Porcelain Veneers
5. Front Teeth Too Big or Too SmallSize really matters when it comes to our front teeth and when teeth are too big or too small for your particular face shape, everything looks out of relation and harmony. With advances in Cosmetic Dentistry we can now easily change the shape and form of your teeth to better suit a particular face type. Click below to choose a treatment option:
Composite Bonding / Contouring Porcelain Veneers
6. Closing The Front GapIf you look like Madonna the gap between your front teeth will be one of your trademarks, but for most of us, gaps between teeth place unnecessary negative attention to our smiles! If it is only a central space between your front teeth or spaces between numerious teeth, cosmetic dentistry provides options to close these gaps. Click below to choose a treatment option:
Clear Braces Composite Bonding Porcelain Veneers
7. My Teeth Are Too YellowAre you happy with the colour of your teeth? Have years of smoking, coffee, tea... stained your once younger looking smile? Are you TIRED of having yellow teeth and feels FRUSTRATED every time you open your mouth? Time and time again we see it is a new whiter and brighter smile that bring about the most dramatic change! Click below to choose a treatment option:
Teeth Whitening Composite Bonding Porcelain Veneers
8. My 1 Dark Front Tooth...Often a front tooth can be more yellow, grey or just darker than the other teeth and draws negative attention to this area. The main factor in causing this is a 'dead' nerve due to many possible causes. Home test: Press a small block of ice against this tooth. A 'dead' tooth will not feel the cold in any way. Click below to choose a treatment option:
Internal Bleaching Composite Bonding Porcelain Veneers
9. Unsightly & Defective Metal FillingsIn a full smile when your back teeth normally show are your teeth free from stains / discolourations and unsightly metal restorations? Amalgam(metal) restorations used to be the standard many years ago to fill our teeth, but today due to health risks and better white alternatives we stay clear from them. Click below to choose a treatment option:
Cerec Fillings Resin Fillings Porcelain Veneers
10. The Necks of My Teeth Have Indentations or GroovesLook at the necks of your teeth along the gum line. Can you see or feel with your fingernail any grooves at the necks of these teeth? This is caused by mechanical/chemical factors. It is important to repair these defects as this is in effect a loss of enamel that makes your teeth more suceptable to tooth decay and sensitivity. Click below to choose a treatment option:
Composite Bonding Porcelain Veneers Resin Fillings
11. I Have Bad Breath (Halitosis)Bad breath can really change your life dramatically. This is for sure a romance stopper and many times the person is unaware of having this. It is ussually also a simptom of underlying disease and should be diagnosed early and treated. If you suspect bad breath, contact us today as we would love to help you. Click below to choose a treatment option:
Fresh Breath Exam Dental Cleaning Gum Disease