Featured
This Fathers Day, it's your turn to SMILE!
Whether you're a dad, grandad, uncle, or just an all-around great guy — Happy Father’s Day from all of us at Blouberg Dental! We know that as a man, you don’t always prioritise yourself — but this June, we’re here to remind you that you deserve to look and feel your best too.Stained teeth,...
Not happy with your dental cleaning?
EMS Technology is now available at Blouberg Dental. Every few years, groundbreaking advancements redefine the standard of dental care. The latest EMS Guided Biofilm Therapy represents a paradigm shift, replacing traditional rotary polishing with state-of-the-art air polishing! Have you ever...
The SMILE TRIANGLE: The 5 STEP plan to your best smile
Our mission is to educate and help people to become cavity-free and to have a best looking and functional smile for life. This is really a mouthful, but isn't this what we all want? Nobody ever taught you that having and keeping a great smile requires effort, self-control and hard...
Reverse tooth wear: a Mini Makeover
Ready for a smile makeover? Getting a new smile might not just be for looking better. We are seeing an alarming amount of young people with excessive tooth wear in our offices that is really disturbing! Excessive tooth wear is a destructive process and leads to loss of tooth structure that...
YES, WE ARE OPEN...
WE ARE OPENWe are happy to announce that we at Blouberg Dental Practice are back and OPEN to assist you with regular dental appointments. We are ready to help you with Crowns, Fillings, Dental Implants, Teeth Whitening, etc.We understand that during the nationwide lockdown many patients had to...
No more down time!
The streets are buzzing with people and everywhere shops and businesses are closing for an emergency 2,5 hour tea break. Employees and business owners are fideling on their phones to find out that no power means no signal and coffee shops are making slow paced coffee on little gas stoves for...
Metal Free Dentistry
It was a great photo. You were caught in the middle of a "full-on" laugh. Then you noticed the old, silver, amalgam fillings and realized that your entire dental history is on display! No need to be self-conscious any longer. There is a simple and attractive solution to the problem. The...
The magic of longer teeth
One of the first things that are noticeable on an aging smile is usually the shorter front teeth. As we age, our front teeth usually wear down due to normal biting, grinding and wear from the opposing jaw. During a normal day our teeth usually touch 2000 times against the opposing teeth and...
The Sequence to a perfect Smile!
You want that perfect new smile and you want it yesterday! Porcelain veneers, teeth whitening, bonding, crowns… where do you start? A beautiful smile consists of many ingredients including colour, gums, shape and obviously your teeth. 'Doctor I just want a straight, white and good looking...
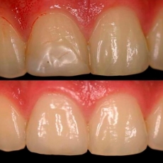
My front filling looks false
Composite Bonding or resin fillings are great to repair chipps on front teeth or even to change to whole shade or shape of your existing teeth.The secret to an undetecting restoration is an excellant colour match and this requires experience and skill from the dentist.Single...
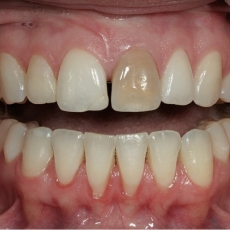
Walking Bleach
Why Is Only My Front Tooth Dark?When the nerve inside your tooth becomes non-vital(dead) the tooth often undergoes a colour change. This is very noticeable when the tooth is a front tooth. Normal teeth whitening applied from the outside(as in tray whitening) will not have a noticeable effect....
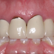
CROWNS: Full Porcelain or Metal-Porcelain?
I recently received the following question from an overseas patient:My husband is concerned about the new "one visit" crowns. He had one done and it broke and then had to be replaced with the old fashioned kind that takes longer. He is adamant that I shouldn't get the new ones because of...

