Cape Town Dentist
C) Super White Clean
Our passion is to get your teeth to their whitest, brightest and cleanest possible state and to keep them that way! We also know that your teeth don't always need the same type of cleaning. Our Super White Clean is aimed at the...
Read more
Fluoride Treatments
Since demineralisation causes tooth decay, fluoride plays a critical role in preventing this destructive process. The Hygienist will apply fluoride to your teeth after cleaning visits to finish off the cleaning treatment. This is part of our chemical weapons attack on plaque and...
Read more
Teeth Grinding
Our teeth are only supposed to touch during chewing and swallowing to ensure optimum dental and joint health. For many people (20 - 40%) their teeth are touching more frequently and lead to a condition called bruxism (Greek 'bryx' meaning gnashing of teeth) or teeth grinding.Teeth...
Read more
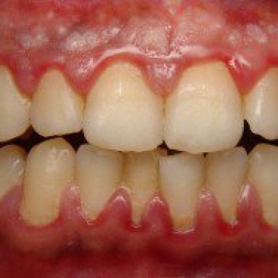
Gum Disease Treatment
Periodontitis or gum disease is a very serious dental disease. Very few people are educated about this disease. Gum disease is the GREATEST cause of tooth loss in adults! According to the World Health Organization (WHO), 10 - 15% of the world...
Read more
Smile Analysis- Identify problem areas
Kindly check your smile in a close-up mirror. With our unique Smile Analysis you can know whether or not a procedure is applicable to you. If you identify your problem in the photos, click on the treatment options to see how we can transform your smile. Go check it out....
Read more
Clear Aligners - No Wires!
No Wires Please!Orthodontics is the treatment of choice for correcting crooked teeth if the top priority is keeping your teeth natural and unaltered. Unfortunately many people reacts negatively to the prospect of wearing unattractive metal braces for long periods of time. Now there...
Read more
Clear Braces Consultation
Transform Your Smile – Limited Time Offer! Imagine stepping into every room with a radiant, confident smile. If you have crowded & misaligned teeth, this message is for you. Our exclusive Clear Aligner Consultation is designed to guide you on your journey to perfectly...
Read more
General dental cavity check ups and Screening
At Myteeth we make sure that you keep your teeth and smile a lifetime by providing routine dental and cavity check ups.Tooth decay today is rampant in a society where sugar and refined carbohydrates are so readily available. The responsibility is still on each one of us to look and care for...
Read more
Porcelain Veneers Cape Town
When patients hear the term "porcelain veneers" the thought of a "fast & beautiful Hollywood smile" jumps to their minds. Porcelain Veneers require minimal tooth reduction and are therefore more conservative than Crowns. It's not the only alternative for...
Read more
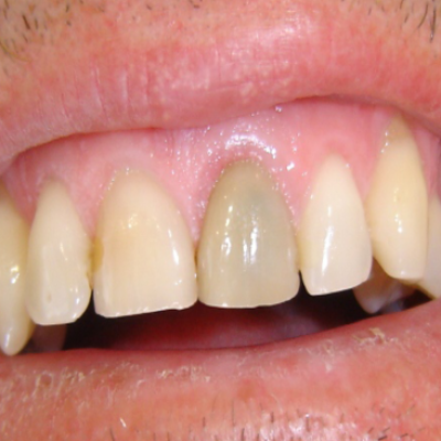
Walking Bleach
When the nerve inside your tooth becomes non-vital(dead) the tooth often undergoes a colour change. This is very noticeable when the tooth is a front tooth. Normal teeth whitening applied from the outside (as in tray whitening) will not have a noticeable effect....
Read more
Dental Implants - Save Your Smile!
Gone are the days of missing teeth! Don't be happy with removable devices or a 'fallen-in' look. Don't look old before your time. Dental Implants can turn back the clock and restore your teeth so you can smile with confidence. Dental Implants are long Term and when well looked after, will...
Read more
Resin Veneers Cape Town
The indications and contraindications for Resin Veneers are exactly the same as for Porcelain Veneers with only the material that differs. Resin is a lot different than porcelain, but with newer and better resins being developed every year, the gap is closing fast. The big...
Read more
Online Smile Consultation
Want to find out what options are available to restore your smile? We know you don't mind making a consultation to see the dentist, but also wish there were a way of knowing upfront the solutions to restore or change your smile. The colour, shape, length and alignment of your teeth can all be...
Read more
Lite Dentistry
What is LITE Dentistry?LITE Dentistry is a Light smile makeover designed to be affordable, cosmetic, fast, and minimally invasive — with a light touch in every way. If you feel self-conscious about your teeth but don’t want invasive dental work or lengthy procedures,...
Read more
Mini Smile Makeover
Improving your smile doesn't have to mean breaking the bank! Sometimes doing the minimum for the maximum benefit is the best way to go. For many people changing the front 4-6 teeth to the ideal shape and colour will provide them with a mini smile...
Read more
Write a Review
Our business only exists because of you our patients. The biggest compliment you could ever give us is to tell your friends about us or just refer us to someone. a Google review is easy and fast and we would be honoured if you would do this if you feel we can also add value to...
Read more
Newsletter Program
Welcome to our Newsletter service! This is our attempt to communicate with you frequently to bring you up to date info on the latest news from our offices and in the world of dentistry. You'll be the first to know about our latest specials, new services and general juicy dental bites! You...
Read more
Resin Injection Moulding
The Resin Injection Technique (RiT) is the latest procedure to take cosmetic dentistry to new heights! This is everything you've always wanted to get to that new makeover or smile, but without the need for invasive procedures. With RiT we adhere to the principles of minimally...
Read more
Custom Mouth / Sports Guards
Whether you're a child, teen, or adult, if you're involved in contact sports, your teeth are always at risk. Every year, countless dental injuries are avoided simply by wearing a mouthguard. It's a small step that makes a big difference. A custom-fit sports mouthguard is a specially...
Read more

