Dentist Cape Town
The Secret to 100% cavity prevention
We live in a world where Knowledge is Power! This statement is as old as we can remember and yet so very powerful. "The Power" in this case is CAVITY-FREE TEETH! Really? Absolutely! Lets have a closer look: About 90% of decay starts in the fissures (grooves on the tooth surface). These fissures...
The Radar of Dentistry – Why x-rays are so important
How often do we find ourselves saying: "If I only knew then what I know now…" Well, when it comes to the state of your Oral Health you can know now and never have to look back with frustration. The hero in this case is the X-RAY or Radiograph – one of the most effective tools for safeguarding...
Do I have to replace a missing tooth? (video)
Losing a front tooth could be a nightmare for most people as your whole SMILE, IMAGE and self-esteem are effected! The logicalthing is to getyour tooth back as soon as yesterday, but what about a back tooth? Many people do not think that losing a back tooth is a big deal as they cannot really...
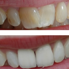
How long will my veneers last?
When veneers fail there are usually 2 things we look at: A) The actual Porcelain veneer: Did the actual porcelain chip or break? B) The surrounding and underlying tissues: Did the underlying tooth structure break, decay or recede? A) The actual Porcelain veneer Porcelain is a material that is...
How do Veneers compare to Thineers? Which would you recommend?
Thineers sound very appealing, but in reality very few teeth can actually look great with Thineers. Why do I say this? Thinneers or Laminates are very THIN porcelain sheets that fit over your teeth giving it the new look that you want without reducing almostany natural tooth. Really? Think...
Teeth Whitening and Sensitivity
The active ingredient in teeth whitening is peroxide(carbamide or hydrogen-peroxide). Peroxide is broken down into water and oxygen. It is this oxygen that is responsible for the whitening effect as this oxydises the yellow stains and particles in the tooth’s structure. When this oxygen is taken...
Do I need to Whiten my teeth first before I can get VENEERS?
Porcelain Veneers are really great and can change your smile instantly! The important thing is to have an evaluation first to check your teeth properly together with your smile to see if all is possible. The other thing is to learn as much as possible on the subject to make the best decision....
My old veneers are discoloured. What can I do?
Porcelain veneers cannot stain or discolour. Porcelain veneers are glazed in a dental furnace to a temperature of up to 900 degrees Celcuis. This ‘bake’ is the reason why porcelain is colour fast. If your veneers are yellow, it could mean that you had resin veneers and not porcelain or the...
How much do DENTAL IMPLANTS cost?
Implants are truly amazing and without them, dentistry today just wouldn’t be the same. First ask yourself: What is a new, brand new tooth with root and crown worth to you? Let's put this in better context: To restore a broken down tooth with a healthy root in RSA could cost +- R9000(crown)....
TOP SECRET: The real cost of a single cavity!
A cavity is usually treated by drilling out the decayed material and filling it with somesort of restorativematerial. However, fillings do not last forever. Although some fillings might last 15 � 20 years (porcelain), the average entry level white resinfilling will last+- 8 � 10 years ifthe...
How to BRUSH & FLOSS the correct way!
Most people today know what the path to cavity free teeth and good oral Hygiene is. Yes, you guessed it right, it is still daily Brushing and Flossing! Question:Why do many people today then still get cavities? We are living in a world of high Technology and life is improving at a faster...
Gap between front teeth (via mobile)
Our patient today had a little gap between his front teeth and needed some white fillings. We used bonding and resin to close the gap in just 1 visit. Teeth whitening is also a great way to create a really white base colour before any cosmetic dentistry. See this link for our teeth...
How to close the gap between your front teeth?
Mind the GAP! Although this sounds like a UK underground slogan, many people today want to do away with their gaps or diastemas between their front teeth. Gaps are usually best dealt with by getting braces, but in our fast pace world today most people want instant results and they want...
ZOOM! Teeth Whitening
Zoom teeth whitening is the fastest way to get to a new white smile! Millions of people world wide are having their teeth whitened and ZOOM! offers a fast and reliable way to a new smile. Our smiles are the first thing people notice about us when meeting us for the first time. A bad looking...
COSTS of DENTAL VENEERS
I will give you an estimate, but would first like to explain some options. �Veneers' is a term that is widely use to describe a full coverage front surface of a tooth with some form of dental material. This material can be resin or ceramic. In ceramic there are also a number of types of...
CEREC VENEERS (via mobile)
Click the photosto enlarge Cerec veneers were done on the front 4 teeth to change our patient’s smile! With CEREC it is now possible to do veneers or crowns in just 1 visit. To learn more about cerec, follow this link. With these veneers we achieved the following: 1. close the gaps 2....
Implant or Bridge?
This is a very popular question, but more specific information about the situation is needed. Let’s first make sure we all know what these 2 options are: 1. a dental bridge 2. a dental implant To make things simple, let’s look at a case where only 1 tooth is missing with teeth...
GUM DISEASE
My dentist saysI have gum disease. Should this concern me? Gum disease is a serious and real thread to society today and is the biggest cause for tooth loss in adults world wide. All my patients get a complete report on the health of their teeth and gumsat their 6 monthly visits. Gum disease...
The Video: Computerized Crowns/Fillings
AMAZING NEW TECHNOLOGY! Crowns and ceramic Fillings can now be done in just 1 visit. With the latest software updates this technology creates the most beautiful dentistry you have ever seen all in just 1 visit. * only 1 visit needed for crowns and ceramic fillings * No gaggy impressions *...
Whoopi Goldberg on Gum Disease
My dentist saysI have gum disease. Should this concern me? Gum disease is a serious and real thread to society today and is the biggest cause for tooth loss in adults world wide. All my patients get a complete report on the health of their teeth and gumsat their 6 monthly visits. Gum disease...
No Metal Please!
For many people today white fillings and whiter teeth are what they expect when going to the dentist. Many of us also still have 1 or 2 big metal fillings that was placed many years ago and for some even dates back to primary school dentistry. Why don’t dentists like doing these...
Finally, the ideal Dental Filling!
First, it was Amalgam. Yes, that is right! The old silver metal filling many of us still have in our mouths and that many dentists are still placing today. Then came gold and finally a new era of … WHITE FILLINGS! ‘White’ was always going to be the obvious colour for the ideal filling, but...
Extreme Make-over’s Dr Bill Dorfman
Wow! What an awesome weekend. I had the privilage of meeting Dr Bill Dorfman of Extreme Make-over this weekend. I attended a course on cosmetic dentistry which was held by Dr Dorfman. It is great to know that dentistry in South Africa compares well with our American colleagues. Dr Dorfman is...
Which crown should you choose?
Dental crowns are dental restorations otherwise known as “caps” that fit over the visible tooth structure. Dental Crowns are amazing in that they have many uses and benefits to us. Dental Crowns can: *change the colour of a tooth *restore a broken down tooth *alter the shape of...

